Description
Product Overview
ExiTron™ MyoC 8000 is a nanoparticulate CT contrast agent developed for preclinical imaging of the myocardium. It is intended for cardiovascular researchers who require reliable differentiation between healthy and diseased myocardial tissue in small animal models. The formulation combines targeted myocardial accumulation with high iodine content and an extended blood half life, enabling both structural assessment and functional cardiac imaging within a single study design. Procurement through an authorized distributor ensures consistent supply, regulatory compliant shipping, and access to application focused technical support.

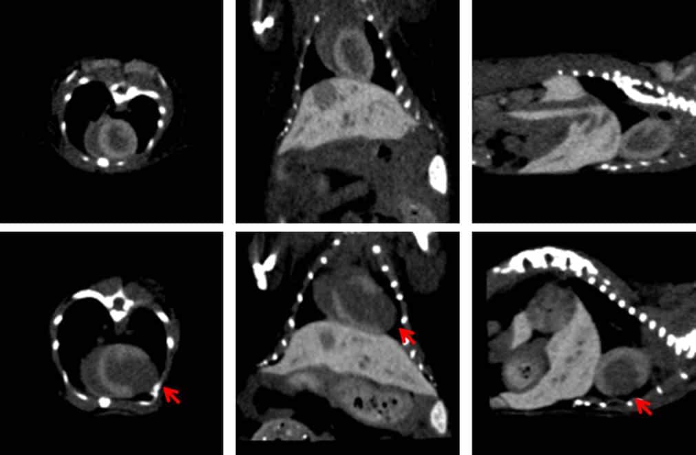
Left: Axial, coronal and sagittal CT images (from left to right) of a healthy mouse (upper row) and a mouse model of myocardial infarction (lower row) using ExiTron MyoC 8000. The red arrows indicate the non-enhanced infarct region.

Right: Timecourse of Signal enhancement in the blood and myocardium of mice after injection of ExiTron MyoC 8000.
Intended Use and Research Rationale
Conventional CT contrast agents often provide limited contrast between myocardial tissue and blood, particularly in pathological conditions. ExiTron™ MyoC 8000 addresses this challenge by preferentially enhancing healthy myocardium while remaining sufficiently present in circulation to support cardiac imaging workflows. This behavior enables visualization of pathological regions such as infarcted tissue, which appear as non enhanced areas relative to surrounding myocardium.
Imaging Characteristics and Cardiac Applications
After administration, ExiTron™ MyoC 8000 produces strong and stable myocardial contrast that supports detection and quantification of myocardial injury. The agent enables clear delineation of infarct regions and supports measurement of infarct size in murine models. Its pharmacokinetic profile allows investigation of functional cardiac parameters while maintaining image quality suitable for quantitative micro CT analysis. Complete biological clearance within approximately one day enables repeated administration in longitudinal study protocols.

Applications in Preclinical Cardiovascular Research
ExiTron™ MyoC 8000 is applied in micro CT studies focused on myocardial infarction, ischemic injury, and other cardiac pathologies. It supports quantitative assessment of myocardial damage, comparison of disease progression over time, and evaluation of therapeutic interventions. The favorable tolerability profile allows imaging studies in animals with advanced or severe cardiac disease, including models with reduced physiological reserve.
Physicochemical and Technical Properties
ExiTron™ MyoC 8000 consists of nanoparticles engineered for myocardial imaging performance and biological compatibility. The mean hydrodynamic diameter is approximately 300 nanometers. Undiluted X ray attenuation reaches approximately 8000 Hounsfield units, supporting sufficient contrast for myocardial visualization in preclinical CT systems.
Preclinical Imaging Validation
Micro CT imaging studies using ExiTron™ MyoC 8000 demonstrate clear differentiation between healthy myocardium and infarcted regions. Time course analyses show distinct enhancement profiles in blood and myocardial tissue, enabling temporal assessment of contrast distribution and washout. These characteristics support reproducible imaging outcomes across cardiovascular disease models.
Scientific References
The application of ExiTron™ MyoC 8000 has been reported in peer reviewed publications and international imaging conferences, including studies on in vivo quantification of myocardial infarction, nanoparticle based diagnostic approaches for cardiovascular disease, and evaluation of myocardial injury in small animal models.
Ordering and Distribution Information
ExiTron™ MyoC 8000 is available in configurations suitable for single experiments or extended study series, including packages containing one set of five injections or five sets of five injections. Ordering through an authorized distributor provides access to local customer support, institutional purchasing options, and custom quotations.
Authorization Statement
Authorized distributor of Viscover products by Nanopet Pharma GmbH. This page contains original distributor specific content intended to support preclinical cardiovascular imaging workflows.




